Welpen-Tagebuch
Trächtigkeit
Nachdem Maze bei der letzten Deckung leerblieb und wir keinen richtigen
Grund erkannt haben, kontrollieren wir diesesmal engmaschiger.
Deshalb haben wir eigentlich für Freitag, den 20.2. wieder einen
Termin bei Dr. Evelin Pekarekt gehabt. Leider hat das Schneechaos uns
einen Strich durch die Rechnung gemacht - die Fahrt über den Packsattel
unmöglich. Hannes ist dann am nächsten Tag gefahren - Elena und ich
waren beim Erstzüchterseminar in Niederösterreich.

Der Wert
war genauso, wie er zu der Zeit sein sollte.
Eine Woche später
bin ich am 27.2. nochmals nach Klagenfurt gefahren - wieder ein guter
Wert.

Wir beobachten auch ganz genau, ob ein ungewöhnlicher Ausfluss
auftritt oder ähnliches. Alles bestens!
Rund um den 13.3. ist der
Ultraschall geplant - dann wissen wir mehr. Immer spannend!
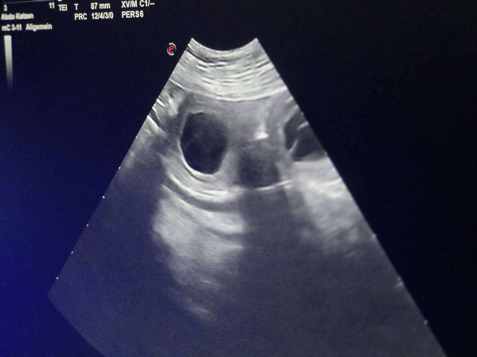
Am
13.3.2026 war es endlich so weit - der langersehnte Ultraschalltermin.
Und Freitag der 13. hat uns Glück gebracht! Wir konnten mehrere
Fruchtanlagen sehen und freuen uns sehr!
Maze wiegt nun 30,7 kg.

Maze geht es wunderbar. Ab dem 40. Tag rundet sich das Bäuchlein
langsam.

Und am 50. Tag sieht man das auch schon gut.
Gewicht:
13.3. (Tag 26): 30,7 kg
Bauchumfang
Diesesmal habe ich zu spät mit dem Messen angefangen.
6.4.
(Tag 50): Vorne 82, hinten 74 cm (ähnlich wie beim letzten Wurf um die
Zeit)
zurück zur Startseite
Läufigkeit und Deckung
Maze ist diesesmal fast 2 Monate später als erwartet läufig
geworden. Dafür ist ihr Progesteronwert schneller als beim letzten Mal
gestiegen.
Wir haben eine Tupferprobe für eine Reproprofil
eingeschickt (Laboklin) - das ist wunderbar auch bei unserem ACC Rosental gegangen.
Hannes war mit ihr am 12.2. (Tag 8 der Läufigkeit) zur ersten
Progesteronmessung in Klagenfurt - immerhin schon 2,41 ng/ml.
Unser
zweiter Besuch war am 14.2. - und siehe da: Schon bei 6,48 ng/ml. Die
Zytologie schaut schön aus - keine nennenswerte Verkeimung oder
ähnliches. Es waren kaum noch Zellkerne vorhanden.
Also eine
bilderbuchmäßige Läufigkeit! Auch die Ergebnisse des Reproprofiles waren
perfekt.

Also fuhren wir am 16.2. (12. Läufigkeitstag) kurz nach 6:00 Uhr in
der Früh nach Ungarn. Seine Besitzerin und Züchterin, Dr. Eszter
Bárdossy, hat uns schon erwartet.
Um 10:25 Uhr wurde Maze problemlos
vom feschen James gedeckt. Alles ist sehr harmonisch abgelaufen - mit
Kennenlernen und kurzem Spiel davor. Vielen Dank!

Maze und James "danach" - ich finde, sie passen wunderbar zusammen!
Nun heißt es Daumen drücken - das Warten auf den Ultraschall ist
immer nervenzermürbend!
Wir lernen übrigens gerne noch
Interessent:innen für Rüden kennen ;-)
Maze wiegt zum
Deckzeitpunkt 31 kg.
zurück zur Startseite